維港口腔

維港口腔醫院|香港企業領袖品牌牙科|大學副會長單位|廣東話潮州話客家話英語接診|誠信服務香港澳門第18年

維港口腔
Chinese English

+852 9353 3251(香港/WA)

母親節關愛媽媽活動
维港固牙术
大學校長到訪維港口腔參觀交流
香港企業領袖品牌
本地牙醫,放心睇牙
維港公益
維港湯俊明
諾貝爾
ig女神維港睇牙
維港口腔,即日搞掂
案例分享 CASE
深圳種牙&深圳維港口腔

貼片 | 琥珀瓷貼片

*此資料為維港口腔內部素材,效果因人而異。

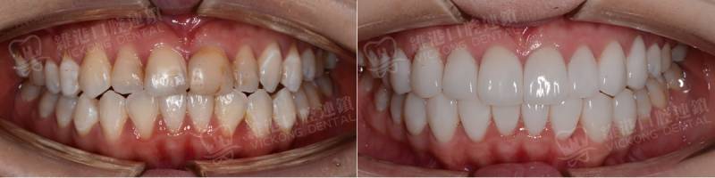
深圳種牙&深圳維港口腔

貼片 | 上牙6顆美加超薄牙貼片

*此資料為維港口腔內部素材,效果因人而異。

深圳種牙&深圳維港口腔

植牙 | 全口All-On-6諾貝爾

*此資料為維港口腔內部素材,效果因人而異。

深圳種牙&深圳維港口腔

植牙 | 半口諾貝爾種植

*此資料為維港口腔內部素材,效果因人而異。

深圳種牙&深圳維港口腔

嵌體 | 3M優韌瓷嵌體修復

*此資料為維港口腔內部素材,效果因人而異。

深圳種牙&深圳維港口腔

牙齒美白 | 皓齒牙齒美白

*此資料為維港口腔內部素材,效果因人而異。

深圳種牙&深圳維港口腔

貼片 | 前牙貼面案例

*此資料為維港口腔內部素材,效果因人而異。

深圳種牙&深圳維港口腔

貼片 | 前牙貼面案例

*此資料為維港口腔內部素材,效果因人而異。

维港口腔连锁